Hi, I am Lovely and I have been looking for answers about my pain, nausea, vomiting, diarrhea since 2021 and I finally am getting them.
What started out to be pain in the lower left abdomen, nausea, vomiting has gave me the run around. I have been ER surfing, Primary surfing, OB surfing trying to get answers from an unknown illness. No one knew what it was. I was violently ill. It started as nausea, vomiting and diarrhea, fatigue and pain down the left side by my colon. Doctors pushed me to GI, GI did a colonoscopy, endoscopy and biopsy and said it wasn’t us and pushed me away.
I went to the hospital for pain and they saw a cyst on my ovary and told me to follow up with my OBGYN back in 2022 in which she brushed me off and kind of laughed at me but she did diagnosed me with PCOS told me it was fine. I ended up going to primary and then they referred me out to GI in 2024 and that’s when I got the scopes.
I ended up going to a primary and she tried to put me on Prozac. I ended up dropping her and then went to the hospital and then found another primary.
He tried Lizess cause everyone thought it was GI related. Went to another hospital to find out my ovary was twisted back in 2022 but by the time I went back it untwisted itself.
The symptoms kind of eased off enough for me to deal with it for the rest of 2024, until recently.
I stayed in constant pain and had pressure in my groin and pelvic. It was like I had to poop really bad and it would not come out. It was a lot of discomfort. I was bloating, my weight gain was going up and down and no matter what I did.

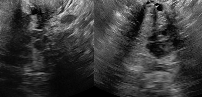
Actual image of my ultrasound
I ended up going to another primary and then she ordered an ultrasound but the ultrasound could not find anything and ended up going to the hospital and they did a CT scan and found my Fibroid so I ended up switching OBGYN and she told me it’s not in your head it’s actually happening and that I have PCOS on top of it all that it was going to cause pain and be difficult.
She ended up doing a pelvic ultrasound and we actually found out that I have adenomyosis which is the opposite of endomitosis. Adenomyosis does not allow the uterus to shed the way it is suppose to meaning you don’t have periods as often and when you do it is heavy and painful. Everything grows inward and nothing sheds causing the uterus to weigh down and enlarge and causes all kinds of issues because it presses on the bowels and other things making it so that you cannot poop and things back up causing nausea, vomiting and diarrhea.
My next step is finally talk to the surgeon November 26th in hopes he will take it out.
Hopefully after surgery I can finally get to work since I have not been able to since the beginning of 2021.
Here is what it started out like
Click here to go to the beginning.I am finally at peace now knowing what is causing this and what is happening. Hopefully after 3 years of suffering, I can get better and find some work but until then, if you would like to help me out you can buy something from my
links and or
tip to my tip me.